成都痛风医院亚太痛风联盟HGMC成都分中心
成都风湿医院四川省风湿免疫疾病大数据中心
成都痛风专科医院中国中医药促进会痛风风湿疑难病会诊基地
肌骨超声 三项诊断标准评估,让强直确诊提前5-7年
肌骨超声(musculoskeletal ultrasound,MSUS)技术是通过高频超声(3~17Hz)扫描提供优异的临床图像,以清晰显示肌肉等软组织层次关系及其内部机构来诊断肌肉骨骼系统疾病的新型超声检查技术。通过肌骨超声,医生可以分辨毫米级以下动态的这些组织结构肌肉、肌腱、韧带、关节囊、关节面及周围神经等浅表软的毗邻关系、形态大小、结构纹理、血流分布,从而获取这些组织器官的解剖变异、炎症、退行性病以及创伤等病变的全方位信息,从而对疾病进行精准评估。
虚线
肌骨超声在强直性脊柱炎上临床应用:
强直性脊柱炎(AS)是一种以侵犯骶髂关节和脊柱等中轴关节为主的慢性、系统性、进展性的炎性疾病。AS病理的发生和发展与炎性血管过度形成有关,肌腱端炎是AS的基本病理改变,包括骶髂关节炎和外周附着端炎,肌腱端往往也是AS的首发部位。AS早期活动性病变表现为前下部关节滑膜炎和骨炎,晚期病变侵蚀破坏软骨及骨质,导致关节软骨纤维化、骨化以致整个关节强直、畸形,甚至残疾。因此积极地诊断和病情评估,早期控制活动性炎性病变,可延缓病变的发展,对提高强直性脊柱炎治疗效果有重要意义。

目前临床根据患者症状或血清学评估AS病变炎症活动度缺乏客观性,且准确性低;放射学检查难以发现早期活动性炎性病灶,一般在5-8年后才得以确诊。大量的研究证实,肌骨超声技术可明确诊断和评估AS外周附着端炎,高频超声可做到清楚地发现滑膜供血情况、滑囊炎、关节腔积液周围组织的病理改变,评估病变的活动性。肌骨超声检查对软骨损伤、骨侵蚀同样敏感,能对骨和软骨表面的细微病变,如肌腱厚度改变、肌腱纤维结构紊乱、骨侵蚀及骨赘等有明显提示,大大提高AS病变的早期确诊率。

虚线
肌骨超声技术诊断强直性脊柱炎评判标准:
一、发现AS肌腱端炎改变,定性确诊疾病所属
肌腱端炎是AS的基本病理改变,但由于缺乏典型炎症表现(红、肿、热),临床很难早期诊断肌腱端炎。肌骨超声以其敏感度很高的非侵入性检查方法,可提供炎性肌腱异常血流动力学方面的信息,如血流方向、速度及阻力情况等,对血流信号进行定量分析,在强直早期精准判定肌腱炎存在。并通过观察肌腱是否增厚、回声强弱、肌腱周围组织水肿及滑膜肿胀程度,反映关节滑膜及肌腱的病理改变、提供AS炎症活动度评估病变,为患者早期治疗提供帮助。

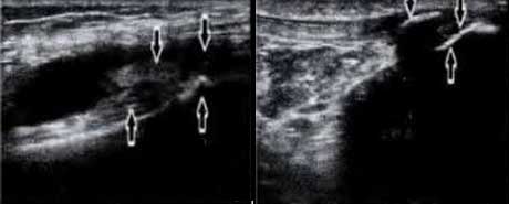
二、清晰显示滑膜炎性病变,提供早期骶髂关节病变线索
骶髂关节炎是强直性脊柱炎的显著特征,早期以滑膜炎性病变为主。肌骨超声对炎症血流十分敏感,可提示活动期强直性脊柱炎患者骶髂关节的异常血流增多变化,反映滑膜炎(滑膜增厚状况、滑膜形态表现、关节腔积液回声形态)表现,为活动性强直性脊柱炎早期骶髂关节病变提供重要线索。

滑膜状态
骶髂关节表面不同程度滑膜增厚、回声降低、关节间隙有明显强化灶。

血流信号
骶髂关节内部增厚的关节表面呈点状血流信号,可见多个小动脉点状血流信号。
三、准确检测骨质细微病变,辅助评估骨质受损程度
肌骨超声不仅能够较好地显示关节及周围软组织的病理改变,还能清晰地显示骨皮质表面附着端的异常和骨性水肿,检测到骨和软骨表面的细微病变、小的骨质缺损。此外,在超声影像下,肌腱所附着的关节处骨皮质破坏、骨质糜烂,“虫蚀样”改变,邻近骨质的反应性硬化及绒毛样改变,关节软骨与滑膜交界处骨轮廓“火山口”样缺损,软骨透明度的丢失和软组织界面完整性的丢失情况都均能清晰显示。通过研究证实,超声对肌腱及其附着处骨皮质的观察,有利于更准确的评估AS患者外周关节的骨质破坏程度,进而判断病情严重程度。

软骨损伤
AS患者骨皮质中断、不连续,可见到游离骨片

骨质钙化受、改变
肌腱附着处滑囊内伴积液,呈“虫蚀样”改变、见钙化灶
虚线
肌骨超声技术对强直性脊柱炎临床治疗效果监测:
在对强直性脊柱炎治疗效果的监测上,肌骨超声可做到动态观察滑膜厚度的改变、积液多少的改变以及关节内及周围血流动力学的改变等。研究认为,超声能够敏感地发现关节滑膜及肌腱的病理改变,因此,它可以作为监测及随访强直性脊柱炎患者软组织病变及临床效果的常规方法,具有极好的临床应用价值。
虚线
肌骨超声检测强直性脊柱炎四大优势:
1、实时动态精准影像。高频超声通过轻微被动或主动关节活动的动态检查定位关节囊,以高分辨率显像清晰显示关节病变,早期即可反映病情。
2、无创无痛、操作安全便捷。MSUS无明确禁忌症,无放射性损伤,检查无创无痛苦,实现了安全便捷操作,可以在床旁、手术室、急诊室实时动态检测,检查时可同时进行医患之间的互动与交流,极大的提高了对治疗的全方位实时治疗情况跟踪,易于康复。
3、可视化检查。高性能探头发射超声波束并接收散射的回波,组织增强成像和XView算法处理等成像技术,提供优异的高分辨率影像。全程处于“可视化”操作状态下,对患者病情做出准确评估,同时对处于康复过程中的患者也能进行实时有效的监测。
4、实现多关节部位同步检查。MSUS可一次对多个关节进行检查,能迅速获得结果,对于多关节病变省时而高效;而且MSUS易于双侧关节对比检查,便于发现某些细微的病变。
近年来,肌骨超声技术在关节疾病的影像学诊断和评估中的价值日益受到重视。对于强直性脊柱炎,已有相当数量的报道证实:肌骨超声可明确诊断和评估外周附着端炎、滑膜、关节软骨以及骨皮质等形态结构的改变。随着科学技术的不断发展,肌骨超声检查已成为强直性脊柱炎临床诊断重要的参考依据。
虚线
附:肌骨超声发展历程:
20世纪90年代,意大利医学家在一项针对运动员膝关节慢性肌腱创伤的研究中发现,肌骨超声可反映出关节周围血流信号的增加、滑膜增厚和骨膜下水肿的状况,自此肌骨超声在关节炎症的检查上开始受到意大利医学界关注。随后,意大利风湿病学学会联合佛罗伦萨大学医学院在全球范围内率先将肌骨超声诊断风湿关节病临床价值研究纳入科研项目。经过数百项实验室研究,肌骨超声被证实在不同类型风湿关节病早期炎症筛查和软组织分辨力上显示出自身独特的优势。肌骨超声可提供其他影像学、常规创伤性检查等无法得到的重要诊断信息,为风湿关节病精细化诊断开拓了一条全新的途径。意大利成为全球将肌骨超声技术纳入风湿关节病临床必要检查的国家。随着该技术在风湿关节病检查领域优势的不断拓展,全球一些发达欧美国家,如英国、德国、美国等陆续正式将肌骨超声纳入风湿科常规检查。肌骨超声技术的成熟应用,已成为当今国际风湿关节病诊疗领域权威性的可视化关节影像学检测“金标准”。

1972年

Mcdonald等利用超声诊断技术鉴别腘窝囊肿和小腿静脉血栓,标志着MSUS正式走上临床医学舞台。欧美大批医学医生开始投入到肌肉骨骼关节相关学科的临床研究中。
20世纪90年代

意大利风湿病学学会联合佛罗伦萨大学医学院在全球范围内率先将肌骨超声诊断风湿关节病临床价值研究纳入科研项目。经过数百项实验室研究,MSUS被循证医学证实可提供其他影像学、常规创伤性检查等无法得到的重要诊断信息,意大利成为全球将肌骨超声技术纳入风湿关节病临床必要检查的国家。
1998年

以英国利兹大学风湿关节病和肌肉骨骼医学中心为主要发起机构,欧美多国研究中心在MSUS在风湿关节病临床诊断的方向科研立项并得以临床结果认证。
2002年

欧洲抗风湿病联盟(EULAR/ACR)指南中将MSUS推荐作为RA诊断和疗效评估的影像学手段,标志着MSUS在关节病诊治中的重要作用已被临床广泛接受和认可。欧美一些发达国家自此开始将肌骨超声应用于风湿关节病常规检查。
2009年

北京大学医院国内将肌骨超声技术应用于炎性骨关节病临床诊断,作为国内开始MSUS超声检查的风湿科,科室医生多次参加国际肌骨超声应用研讨会、欧洲抗风湿病联盟(EULAR)年会的肌骨超声标准化培训等,填补了我国风湿关节病影像学精准检测的医学空白,带动我国肌骨超声技术水平整体与国际接轨。
2015年

中国超声医学工程学会肌骨超声专委会的大力推动下,肌骨超声全面涉及到骨科、康复医学、疼痛医学、风湿免疫、中医学等等交叉学科,拓宽超声的应用范围,使得肌骨超声在各临床学科充分应用。
2017年

全国肌骨超声应用协作组培训基地成立,代表着国内多家三甲医院风湿科应用肌骨超声技术诊断风湿关节病水平非常成熟,自此,肌骨超声开始面向全国推广。
2018年

成都风湿医院率先从意大利引进肌骨超声,并获得该仪器检测在西南地区的临床应用与操作医生的授权资格,预示着我院在风湿关节病的高水平精准诊断领域已于国际接轨,处于国内领先地位,肌骨超声的引进必将大力推动西南地区风湿关节病可视化精细化诊断技术的全面发展。
2018年,成都风湿医院率先从意大利引进肌骨超声,并获得该仪器检测在西南地区的临床应用授权资格,预示着我院在风湿关节病的高水平精准诊断领域已与国际接轨,处于国内领先地位,肌骨超声的引进必将大力推动西南地区风湿关节病可视化精细化诊断技术的全面发展。
温馨提醒
以上文章内容为仅供参考。若想了解更多信息,可点击导诊服务,在线客服为您解答。或免费拨打医院电话:028-86117707
吕万萍
许军
周攀
蒙兴文
李小兰
聂治民
王洁
-
一诊室主任
网络挂号数量:19582例 累计诊疗数量:20148位临床
擅长吕万萍主任,毕业于成都中医药大学,现任成都风湿医院一诊室主任、欧洲抗风湿病联盟(EULAR)会…【详细】
-
三诊室主任
网络挂号数量:18749位 累计诊疗数量:22784例临床
擅长许军主任毕业于成都中医药大学,现任成都风湿医院痛风科门诊主任,美国风湿病学会(ACR)国际会…【详细】
-
六诊室主任
网络挂号数量:14935位 累计诊疗数量:16528位临床
擅长周攀主任,现任成都风湿医院六诊室主任,同时身兼四川省残疾人福利基金会“风路同行&midd…【详细】
-
九诊室主任
网络挂号数量:15278位 累计诊疗数量:18425例临床
擅长蒙兴文主任,现任成都风湿医院九诊室主任,身兼四川省中医药信息学会痹症专业委员会委员、四川…【详细】
-
二诊室主任
网络挂号数量: 累计诊疗数量:临床
擅长李小兰,现任成都风湿医院二诊室主任,同时是四川省残疾人福利基金会“风路同行·健康四川公益…【详细】
-
十诊室主任
网络挂号数量:12353 累计诊疗数量:11421临床
擅长成都风湿医院十诊室主任 四川省中医药信息学会痹症专业委员会委员 四川省风湿免疫疾病大数据…【详细】
-
十一诊室主任
网络挂号数量: 累计诊疗数量:临床
擅长王洁,现任成都风湿医院十一诊室主任、亚太痛风联盟HGMC成都分中心专家组成员、四川省残疾人福…【详细】
个人信息授权和保护声明
感谢您信任并使用成都风湿医院自助挂号平台!我们非常重视保护您的个人信息和隐私。请您仔细阅读在本页面展示的个人信息授权及保护声明,确保在完全同意相关内容的基础上再提交您的信息。
1、本服务页面的实际运营者,即本服务页面展示的主体(以下简称“我方”)提供。
2、我方将按照法律规定收集、处理您的个人信息。本协议可能涉及您个人信息权益的重要约定,请您在提供个人信息前仔细阅读。一旦您在页面上提交了相关信息,即视为您同意本协议的全部内容。
3、为了进一步向您提供预约诊疗的相关信息,了解您的需求,需要您按页面的表单提交相关信息,提交的可能包括您的姓名、电话等,具体以页面展示的为准,我们使用前述信息的目的在于与您联络,确认预约信息。您有权拒绝提供上述信息,但可能无法获取进一步服务。如您提供了上述信息,您应保证所有信息真实、准确、完整、有效。
4、我方已采取符合业界标准的安全防护措施保护您的个人信息。
5、若您是未满18周岁的未成年人,请您和您的监护人仔细阅读本隐私政策,并在征得您的监护人授权同意或监护人指导下使用并向我们提供个人信息。
6、如您有任何投诉、建议或咨询,或有任何基于法律法规规定的权利请求,例如查询、修改、删除、撤回预约等,请通过本页面展示的联系方式与我们联系。
请您仔细阅读本《个人信息授权和保护声明》了解详细信息。如果您同意,请您点击“同意”开始使用我方自助预约挂号服务,我们将尽全力保护您的个人信息安全。
个人信息授权和保护声明
感谢您信任并使用成都风湿医院自助挂号平台!我们非常重视保护您的个人信息和隐私。请您仔细阅读在本页面展示的个人信息授权及保护声明,确保在完全同意相关内容的基础上再提交您的信息。
1、本服务页面的实际运营者,即本服务页面展示的主体(以下简称“我方”)提供。
2、我方将按照法律规定收集、处理您的个人信息。本协议可能涉及您个人信息权益的重要约定,请您在提供个人信息前仔细阅读。一旦您在页面上提交了相关信息,即视为您同意本协议的全部内容。
3、为了进一步向您提供预约诊疗的相关信息,了解您的需求,需要您按页面的表单提交相关信息,提交的可能包括您的姓名、电话等,具体以页面展示的为准,我们使用前述信息的目的在于与您联络,确认预约信息。您有权拒绝提供上述信息,但可能无法获取进一步服务。如您提供了上述信息,您应保证所有信息真实、准确、完整、有效。
4、我方已采取符合业界标准的安全防护措施保护您的个人信息。
5、若您是未满18周岁的未成年人,请您和您的监护人仔细阅读本隐私政策,并在征得您的监护人授权同意或监护人指导下使用并向我们提供个人信息。
6、如您有任何投诉、建议或咨询,或有任何基于法律法规规定的权利请求,例如查询、修改、删除、撤回预约等,请通过本页面展示的联系方式与我们联系。
请您仔细阅读本《个人信息授权和保护声明》了解详细信息。如果您同意,请您点击“同意”开始使用我方自助预约挂号服务,我们将尽全力保护您的个人信息安全。
个人信息授权和保护声明
感谢您信任并使用成都风湿医院自助挂号平台!我们非常重视保护您的个人信息和隐私。请您仔细阅读在本页面展示的个人信息授权及保护声明,确保在完全同意相关内容的基础上再提交您的信息。
1、本服务页面的实际运营者,即本服务页面展示的主体(以下简称“我方”)提供。
2、我方将按照法律规定收集、处理您的个人信息。本协议可能涉及您个人信息权益的重要约定,请您在提供个人信息前仔细阅读。一旦您在页面上提交了相关信息,即视为您同意本协议的全部内容。
3、为了进一步向您提供预约诊疗的相关信息,了解您的需求,需要您按页面的表单提交相关信息,提交的可能包括您的姓名、电话等,具体以页面展示的为准,我们使用前述信息的目的在于与您联络,确认预约信息。您有权拒绝提供上述信息,但可能无法获取进一步服务。如您提供了上述信息,您应保证所有信息真实、准确、完整、有效。
4、我方已采取符合业界标准的安全防护措施保护您的个人信息。
5、若您是未满18周岁的未成年人,请您和您的监护人仔细阅读本隐私政策,并在征得您的监护人授权同意或监护人指导下使用并向我们提供个人信息。
6、如您有任何投诉、建议或咨询,或有任何基于法律法规规定的权利请求,例如查询、修改、删除、撤回预约等,请通过本页面展示的联系方式与我们联系。
请您仔细阅读本《个人信息授权和保护声明》了解详细信息。如果您同意,请您点击“同意”开始使用我方自助预约挂号服务,我们将尽全力保护您的个人信息安全。
- 自助挂号平台
- 远程会诊平台
- 救助申请平台
远程会诊申请表
注:本测试结果由我院多名风湿科医生共同会诊,填写完毕后,请您耐心等候回电! 信息的真实性关系到医生的会诊结果,请您对照患者情况如实填写!
风湿患者
生活救助项目申请平台
本救助项目对痛风、类风湿性关节炎、强直性脊柱炎、风湿性关节炎、感染性关节炎、骨性关节炎、反应性关节炎、风湿热等主要风湿疾病的贫困风湿患者给予一次性生活救助。
申请须知
救助额度根据患者实际情况实行限额救助,具体比例为:
1、对"精准扶贫"建卡贫困户风湿免疫性疾病患者,生活救助金统一为1000元。
2、对家庭五保户或丧失劳动能力家庭风湿免疫性疾病患者,生活救助金为2000元。
3、对没有参加各类医疗保险,有低保证、残疾证等证明文件,但不属于"精准扶贫"建卡贫困户的困难家庭风湿免疫性疾病患者,生活救助金为1000元;
4、对已参加各类医疗保险,诊疗疾病属于报销范围的困难家庭风湿免疫性疾病患者,生活救助金为500元。
- 医生会诊
- 医院环境
- 仪器设备
- 公益事业


换一批
更多




















